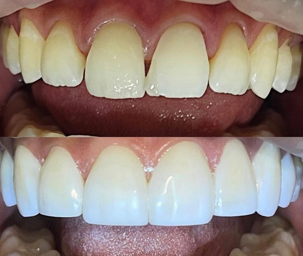
Blanqueamiento Dental Profesional
Si sientes que tu sonrisa ha perdido brillo — por el café, el tiempo, o simplemente la vida — hay so...








En Medellín, Odontólogos y Sonrisas pone a tu disposición un equipo completo de especialistas en todas las áreas de la odontología. Llevamos más de 10 años trabajando en Colombia porque creemos que todos merecen acceso a atención dental de calidad.
Nuestros servicios en Medellín incluyen: limpieza dental profesional, blanqueamiento, Invisalign y brackets, ortodoncia con alineadores transparentes, implantes dentales, carillas de porcelana, coronas, diseño de sonrisa, endodoncia, periodoncia y extracciones.
¿Quieres corregir tu sonrisa pero no sabes si elegir Invisalign o brackets? En Odontólogos y Sonrisas en Medellín te ayudamos a decidir. Invisalign es la opción preferida por quienes buscan discreción: los alineadores son transparentes y removibles. Los brackets — metálicos o cerámicos — son la solución más indicada para casos con mayor complejidad.
Nuestro especialista en ortodoncia evalúa tu mordida, tus objetivos y te presenta un plan claro con tiempos estimados y costos. Sin sorpresas.
No somos una cadena de clínicas que aplica el mismo protocolo a todos. En Odontólogos y Sonrisas, el punto de partida siempre es la persona. ¿Qué necesitas? ¿Qué te preocupa? ¿Cuál es tu presupuesto? Con esa información diseñamos un plan de tratamiento que tenga sentido para ti.
La cita inicial no tiene costo. Escríbenos por WhatsApp o agenda directamente en nuestra página. Estamos en Medellín y en más de 25 ciudades de Colombia.

